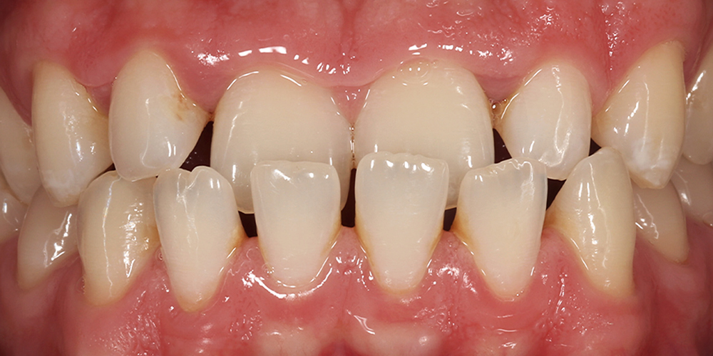
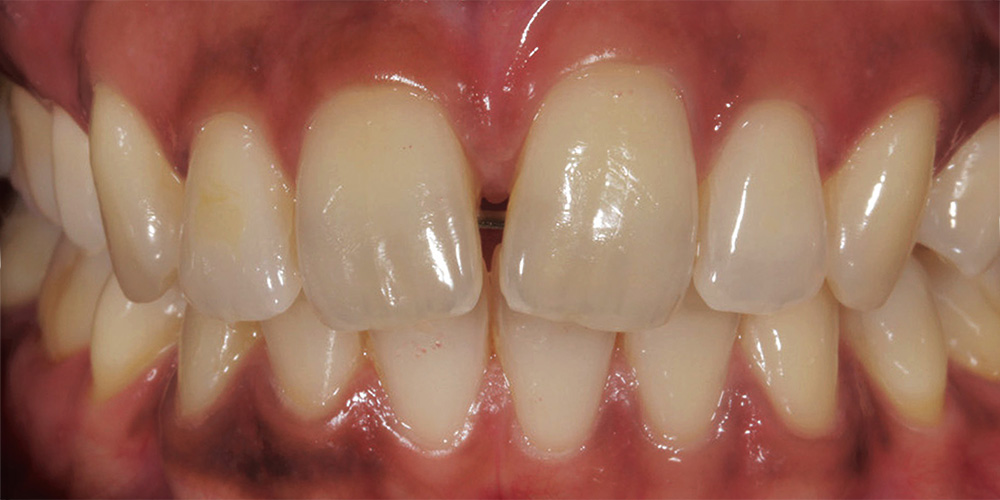
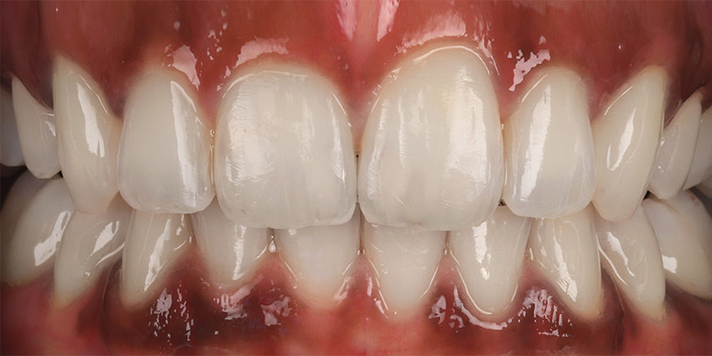
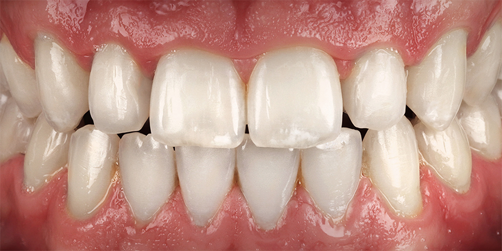
Before and After Teeth Straightening
Before & After Invisalign Treatment
Examples of Invisalign
Slide right for BEFORE, slide left for AFTER
Slide right for BEFORE, slide left for AFTER
Slide right for BEFORE, slide left for AFTER
Slide right for BEFORE, slide left for AFTER
Slide right for BEFORE, slide left for AFTER
Slide right for BEFORE, slide left for AFTER
Slide right for BEFORE, slide left for AFTER
Slide right for BEFORE, slide left for AFTER
Slide right for BEFORE, slide left for AFTER
Slide right for BEFORE, slide left for AFTER
Slide right for BEFORE, slide left for AFTER
Slide right for BEFORE, slide left for AFTER
