Dental Veneers
Are your teeth stained, chipped, discoloured or slightly uneven?
Dental veneers could be the solution.
Book Now Your Complimentary Consultation
What are Dental Veneers?
Best Results
Natural Effect
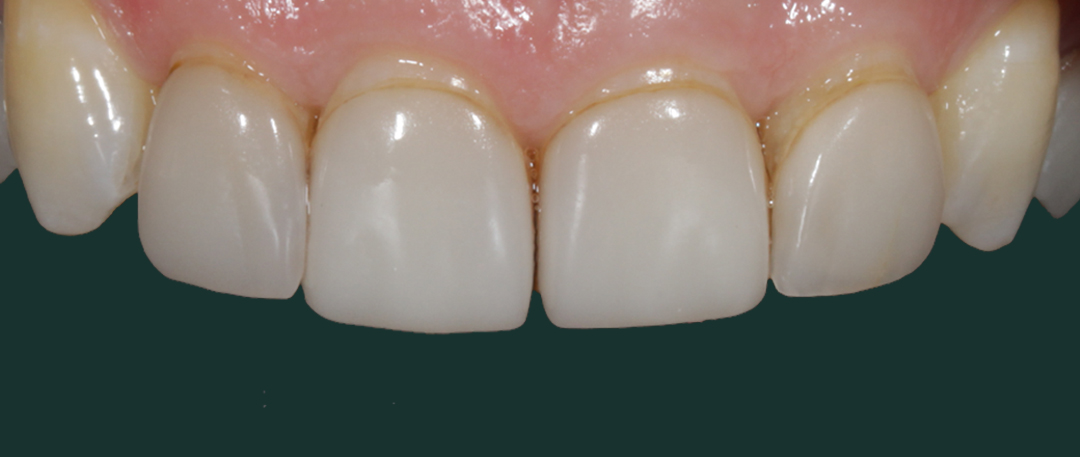
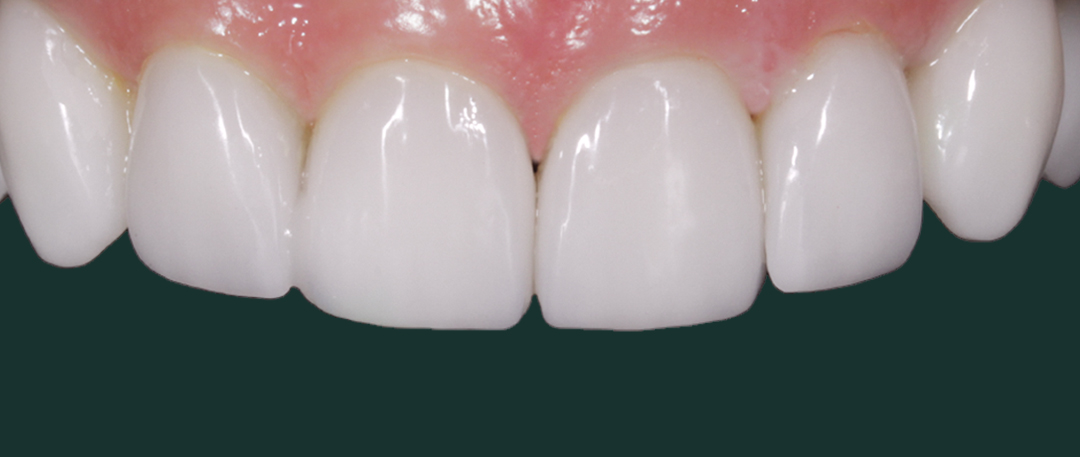
Dental veneers are wafer thin layers of porcelain which are custom-made to fit the surface of your tooth to produce a natural-looking, straighter, whiter tooth.
Forever White
They function just like a normal tooth when you bite or chew, however, they do not stain from drinking coffee, red wine or smoking.
Benefits of
Dental Veneers?
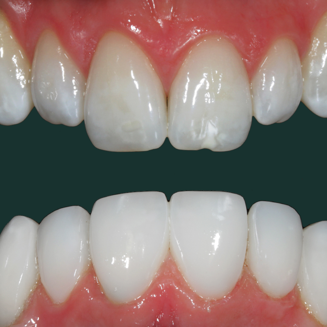
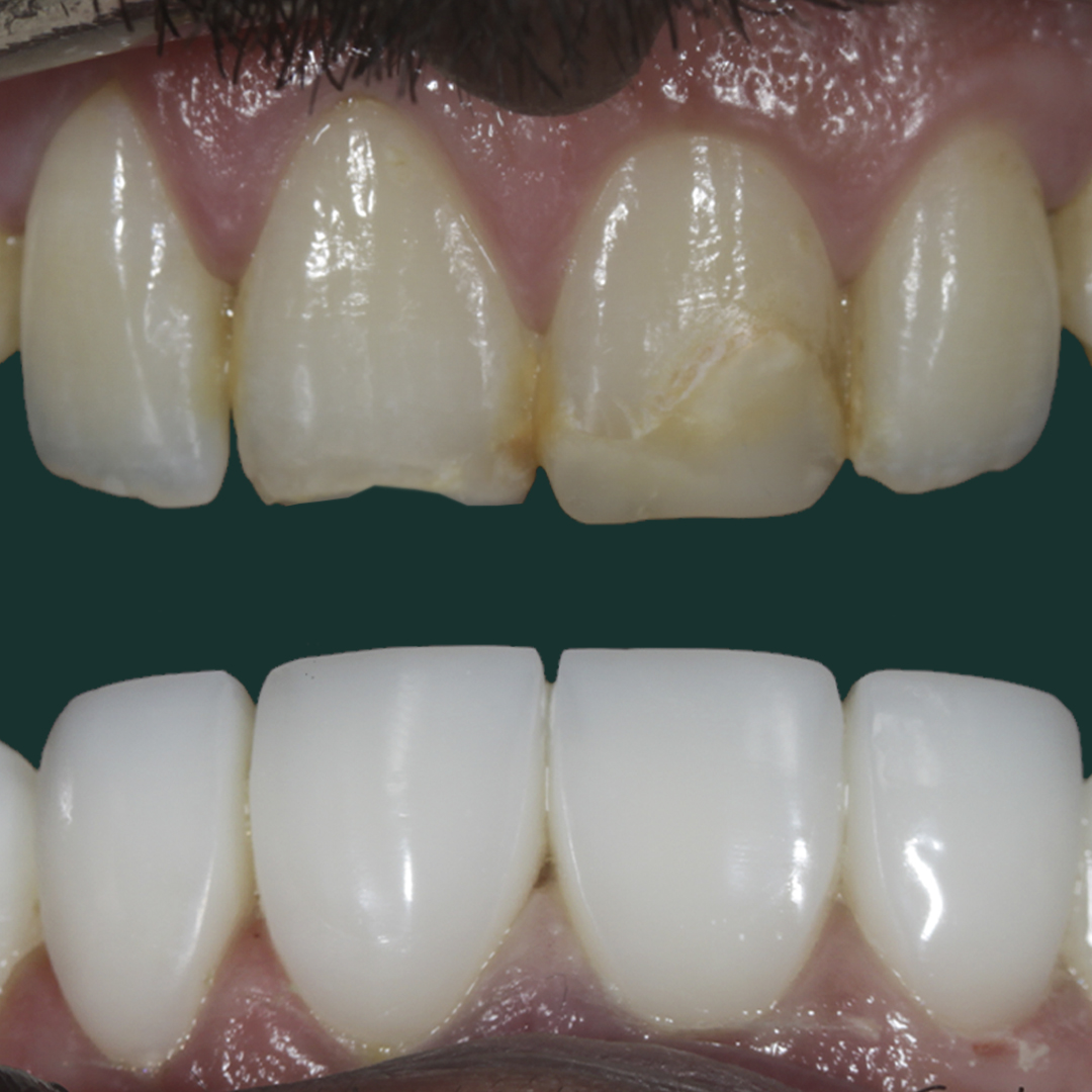
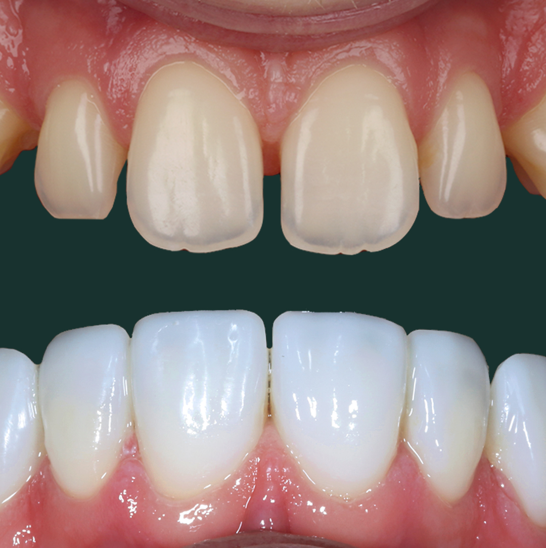
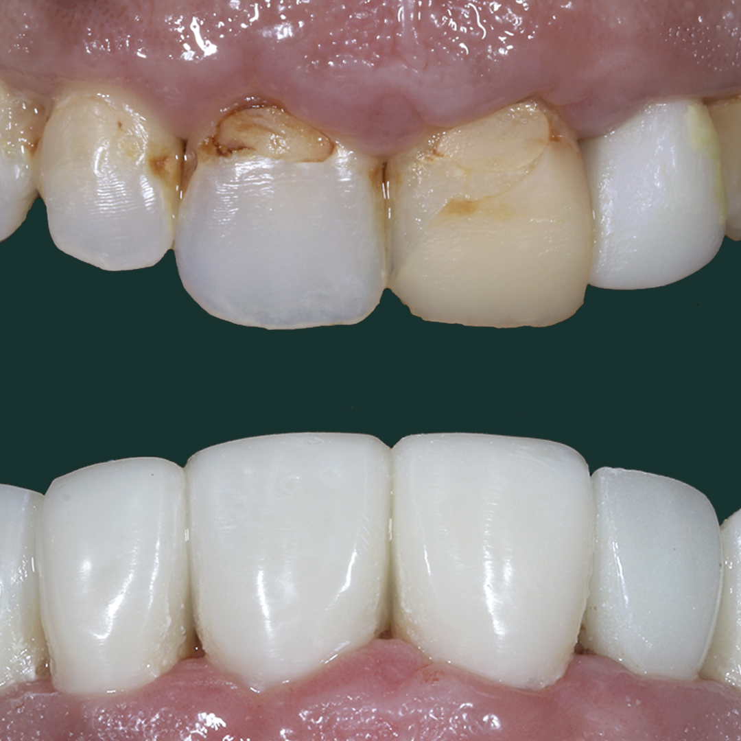
Stained
Discoloured
Chipped
Slightly uneven
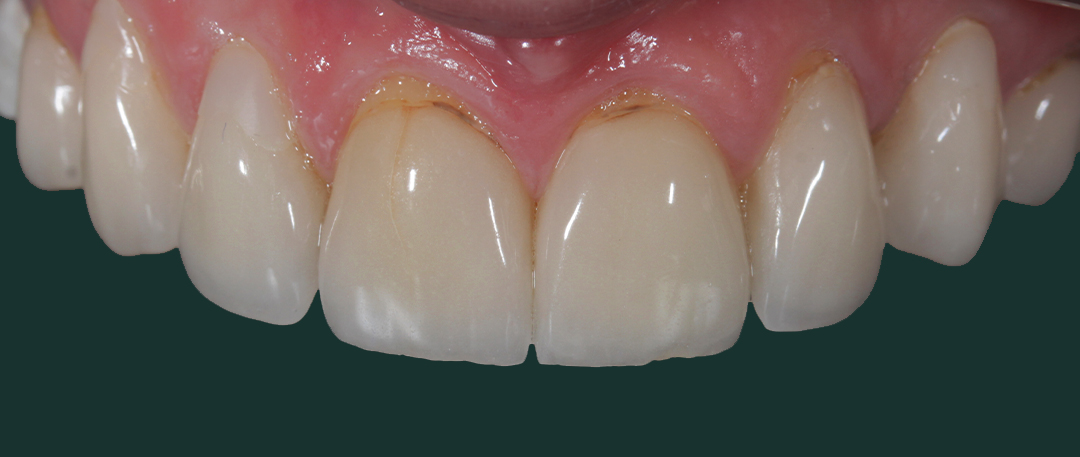
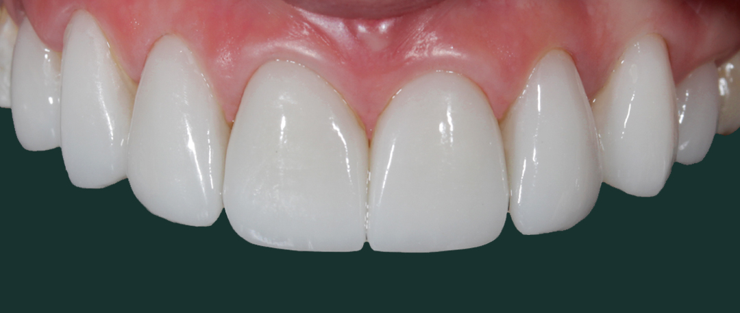
Veneers Before and After
How much do veneers cost?
Single Veneer
£795
*0% APR Finance 2 Veneers
£110 Per Month
Calculator the cost
(*Subject to affordability, age and status, minimum spend applies)
Book Today
A Free Consultation For Dental Veneers
Complete the form below, and we will call you to discuss your dental treatment options.
What problems do dental veneers fix?
The bespoke veneers are then made by a dental laboratory to fit your tooth exactly, using the same shade as your other teeth.
At your next appointment, we will gently etch at the surface of your tooth to accommodate the new bespoke veneer.
The porcelain veneers are then bonded to the tooth, to create an instant smile makeover. You may receive a follow up appointment to check on the final results of your dental veneers.
Dental veneers are perhaps one of the most rewarding aesthetic dental treatments available because the treatment is quick, painless, and gives dramatic results.
Post treatment of dental veneers
If you grind or clench your teeth at night, then a night guard is a possible solution. To avoid breaking or fracturing a veneer, we advise against eating hard food that produce a huge amount of force upon chewing. It is best to cut up foods like hard bread rolls or apples rather than biting into them directly and damaging your veneers.
It is important to always book your routine dental visit every 6 months and maintain a good oral hygiene at home by brushing and flossing regularly.
Find out more about dental veneers today at our dental practice on Fosse Road Central in Leicester.


