CEREC A Smile In An Hour
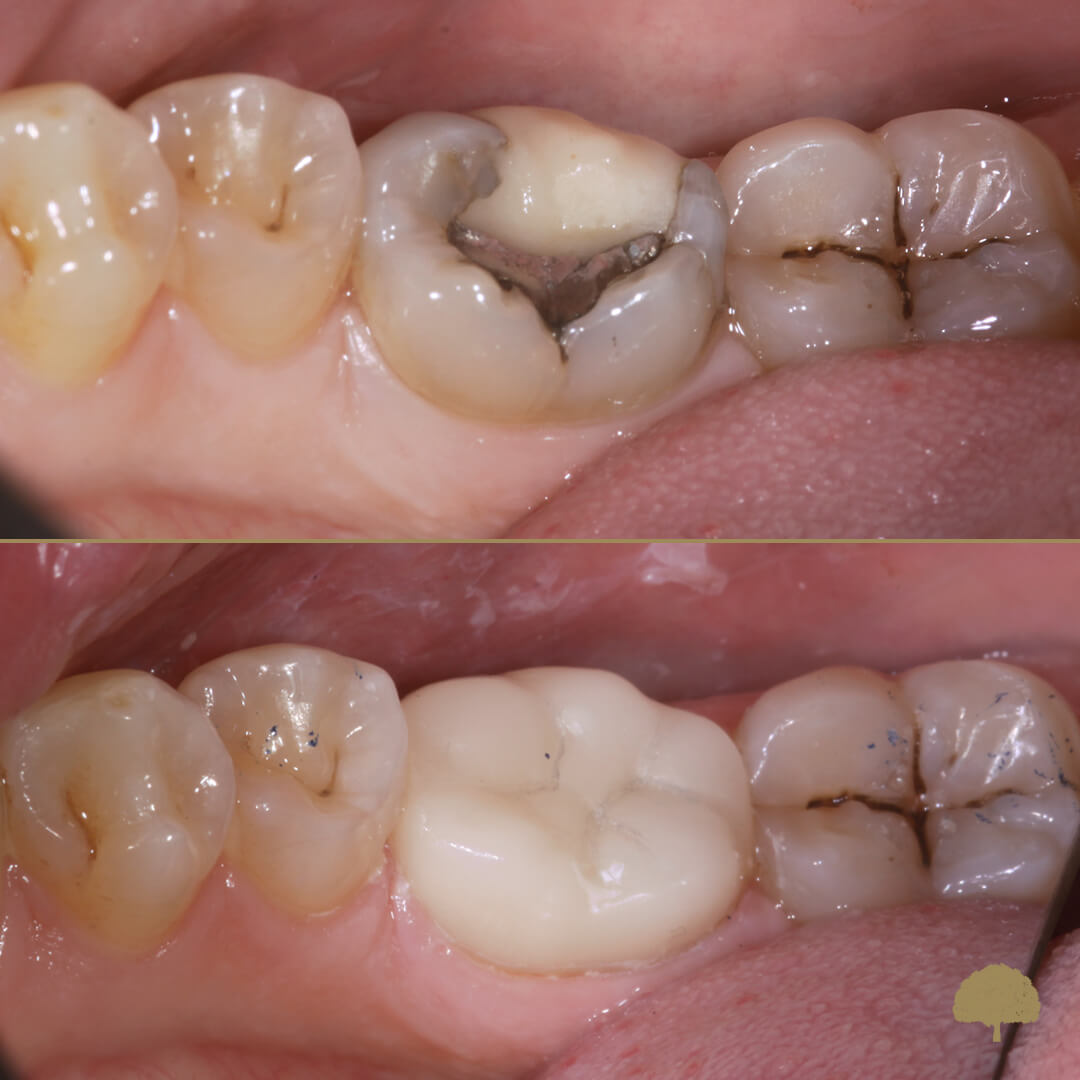
Dental Crown in Leicester
For a quick smile makeover, book an appointment
with our cosmetic dentist at Oakdale Dental today
0116 26 27 150
CEREC CROWN
In 4 Simple Steps
Step 1: Scan
No more discomfort when taking teeth impressions.
We scan teeth precisely using the CEREC Omnicam.
Step 2: Design
Our software allows you to see your restorations instantly after them scan.
Step 3: Create
A piece of ceramic material is inserted into the CEREC milling machine to produce a precise replica tooth.
Step 4: Finishing
The crown is stained, glazed and finished in a furnace before it is ready to be fitted.
is suitable for
Get in touch with us today to enquire about getting a new smile
in just one day using CEREC in Leicester.
- Broken, chipped, worn out or damaged teeth
- To replace missing teeth when supporting dental implants
- Can also be used to mask discoloured teeth or straighten teeth using veneers
Our cosmetic dentists use their expertise and creative skills to produce quality restorations for a smile that is healthy, natural looking, and beautiful.
At Oakdale Dental, we provide modern solutions so that our patients receive the best in patient care. Patients wanting CEREC crowns, veneers, onlays/inlays travel to us from all over Leicester, Nottingham, Derby, and the rest of the Midlands.
The benefits include
- Reduced treatment time, as only one visit required
- No need for temporary restorations
- No gooey impressions required
- Precise measurements taken using a digital scanner for a perfect fit
- Quality, custom made CEREC veneers, crowns, inlays and onlays produced on site
Book A Consultation Today





